仙台市青葉区の歯医者・歯科医院

〒980-0022 宮城県仙台市青葉区五橋2丁目11-1 ショーケー本館ビル 1階
地下鉄南北線「五橋駅」南1番出口より愛宕大橋方面へ徒歩1~2分

診療時間
9:30~13:30
15:00~19:00

▲:9:00~13:00、◆:15:00~18:00、*:14:00~17:00
(休診日:日曜・祝日、第2・4土曜、第1・3・5月曜)

※第2・4月曜の午後診療は15:00~18:00
最終受付は診療終了時刻の1時間前です。

インプラント治療例

インプラントの治療例と費用

インプラント料金の詳細ならびにいくつかの治療例と治療費をお示ししましたので、参考にしてください。

例1. 欠損部成熟側埋入の
インプラント埋入のケース

抜歯後傷口が治り安定した歯肉へのインプラント埋入を欠損部成熟側埋入といいます。骨の状態が良ければさほど難しい手術ではありません。

Aさんの場合大きくかかる料金は、

手術料

フィックスチャー埋入術
ZIMMER Spline TwistTM

200,000円
(220,000円税込み)
アバットメント料金 既製バットメント 45,000円
(49,500税込み)
クラウン料金 セレッククラウン 55,000円
(60,500円税込み)
   

合計 300,000円
(330,000
円税込み)

術前

術後

治療期間3ヶ月

例2. 欠損部成熟側埋入の
インプラント埋入のケース

右下のブリッジを支える歯が重度歯周炎と歯根破折によりグラグラになり、抜歯後デンタルインプラントで治療しました。

Bさんの場合大きくかかる料金は、

手術料 フィックスチャー埋入術ZIMMER Spline TwistTM 200,000円
(210,000円税込み)
アバットメント料金 既製バットメント 45,000円
(49,500円税込み)
クラウン料金 メタルバッキング
ハイブリッドクラウン
75,000円
(82,500円税込み)
   

合計 320,000円
(352,000円税込み)
(一本分)

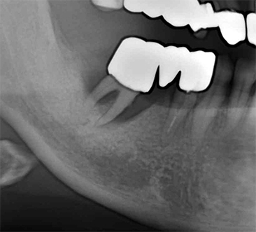
レントゲンでみたグラグラのブリッジと抜歯後の比較

インプラント埋入前の口腔内

インプラント埋入後の口腔内

治療期間3ヶ月

例3. 抜歯即時インプラント
埋入のケース

歯根破折(神経をとった歯は神経が生きている生活歯より弱く、疲労破折することが多い)により抜歯が必要な場合に、抜歯と同時にインプラントを埋入するケースです。歯根破折した歯は破折部位に細菌がたまり炎症の原因になるため早めに抜歯を行わないと、骨が溶けていきます。

Cさんの場合大きくかかる料金は、

手術料 フィックスチャー埋入術ZIMMER Spline TwistTM 200,000円
(220,000円税込み)
  抜歯即時埋入 54,000円
(59,400円税込み)
アバットメント料金 金合金スクリュータイプ
メタルボンド連結
115,000円
(126,500円税込み)
クラウン料金 メタルボンドクラウン 92,000円
(101,200円税込み)
    合計 461,000円
(507,100円税込み)

術前

術後

治療期間約4ヶ月

例4. 抜歯即時
インプラント埋入のケース

歯根破折した左下の臼歯の抜歯と同時にインプラント埋入を行ったケース。治療期間が非常に短くなります。

Eさんの場合大きくかかる料金は、

手術料 フィックスチャー埋入術ZIMMER Spline TwistTM 200,000円
(220,000円税込み)
  抜歯即時埋入 54,000円
(59,400円税込み)
アバットメント料金 既製バットメント 45,000円
(49,500税込み)
クラウン料金 メタルバッキング
ハイブリッドクラウン

75,000円

(82500円税込み)

    合計 417,000円
(458,700円税込み)

術前

抜歯前後

術後

治療期間約3ヶ月

例5. 骨の幅が狭く
スプリットクレスト法を併用した
埋入のケース

右下のブリッジを支える歯が重度歯周炎でグラグラになり抜歯となりしました。炎症が治まった後、薄くなった骨を広げてインプラント治療しました。

Dさんの場合大きくかかる料金は、

手術料 フィックスチャー埋入術ZIMMER Spline TwistTM 200,000円
(220,000円税込み)
  スプリットクレスト法 78,000円
(85,800円税込み)
アバットメント料金 既製バットメント 45,000円
(49,500円税込み)
クラウン料金 メタルバッキング
ハイブリッドクラウン
75,000円
(82,500円)
    合計 398,000円
(437,800円税込み)
(一本分)

インプラントのレントゲン写真

治療期間約5ヶ月

例6. 上顎洞挙上術を併用した
インプラント埋入のケース

歯根破折した左下の臼歯の抜歯と同時にインプラント埋入を行ったケース。上顎洞低挙上術も併用していいますが、治療期間が非常に短くなります。

Fさんの場合大きくかかる料金は、

手術料 フィックスチャー埋入術ZIMMER Spline TwistTM 200,000円
(220,000円税込み)
  上顎洞挙上術~4mm 42,000円
(46,200円税込み)
アバットメント料金 金合金スクリュータイプ
メタルボンド連結
88,000円
(96,800円税込み)
クラウン料金 メタルボンドクラウン 92,000円
(101,200円税込み)
    合計 422,000円
(464,200円税込み)

歯根破折した小臼歯

インプラント埋入後と抜去歯

術後

治療期間約4ヶ月

パソコン|モバイル
ページトップに戻る